First MyVal Octacor Case at Waikato Hospital
Exciting News from Surgical Supplies
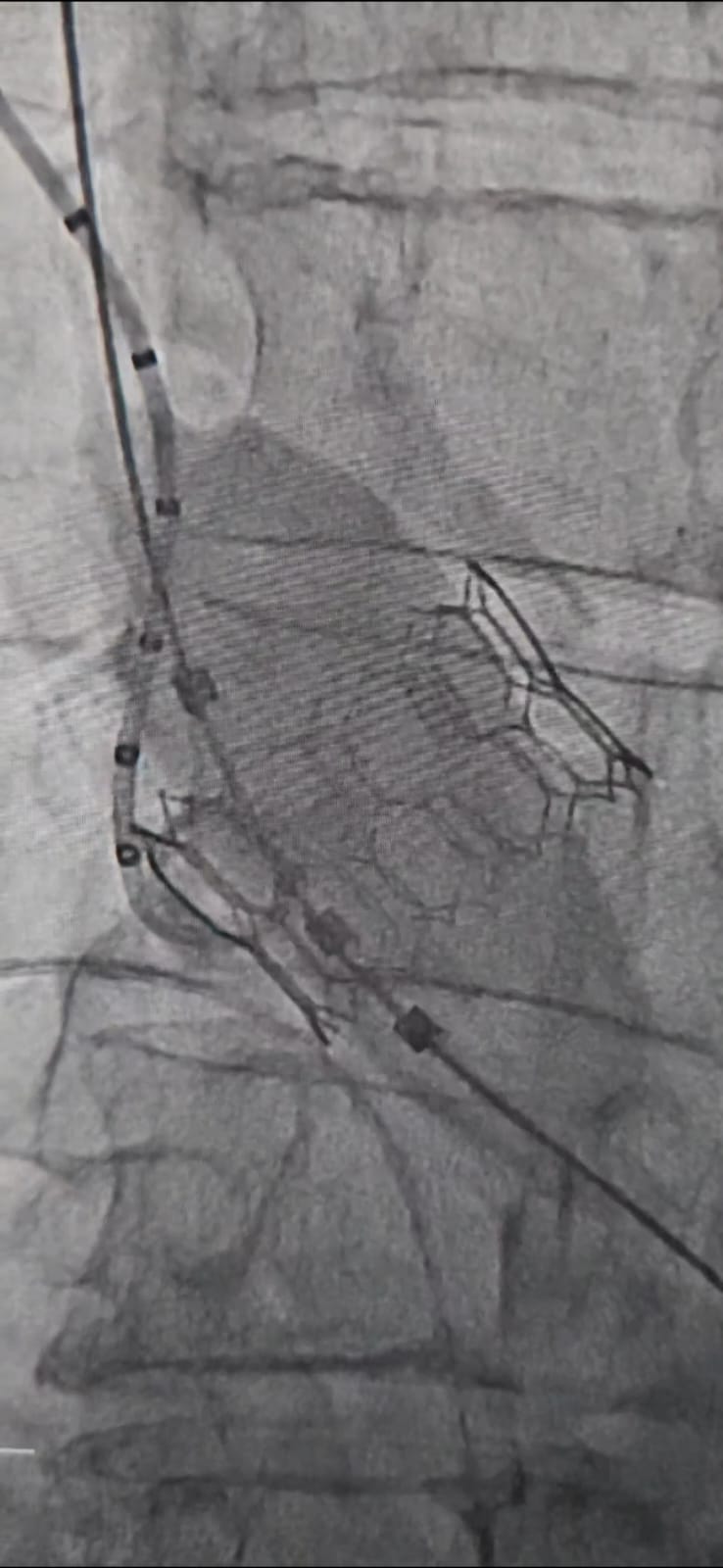
We are thrilled to announce the successful implantation of the MyVal Octacor 32mm at Waikato Hospital, marking a significant milestone in our journey. A huge thanks to Dr. Sanjeevan Pasupati, Dr. Faaez Ali, and the entire Waikato Cathlab team for their unwavering belief and confidence in Octacor. The procedure yielded excellent hemodynamics, underscoring the promising potential of the MyVal Octacor TAVI intermediate and XL sizes. We look forward to achieving more breakthroughs together.
2nd Case at Midland Cardiovascular Services- Hamilton
We at Surgical Supplies are delighted to announce the second successful implantation of the MyVal Octacor 30.5mm at Midland Cardiovascular Services in Hamilton. A heartfelt thank you to Madhav Menon, Dr. Sanjeevan Pasupati, Faeez Mohamad Ali, and the entire MCVS Cathlab team for their steadfast belief in MyVal Octacor. The procedure demonstrated excellent hemodynamic outcomes, highlighting the immense potential of the MyVal Octacor TAVI intermediate and XL sizes. We look forward to more groundbreaking advancements together!
